'İNMENİN İKİ TÜRÜ VAR'
İnmenin iskemik inme ve hemorajik inme olarak iki türü bulunduğundan bahseden Nöroloji Uzmanı Dr. Hikmet Dolu, "İskemik inme en sıklıkla görülen inme türüdür. Beynin kan damarlarındaki daralmadan veya tıkanmadan dolayı meydana gelmektedir. Hemorajik inme ise, beyindeki bir kan damarının yırtılması durumunda meydana gelmektedir. Siz ya da çevrenizdeki bir kişi inme geçiriyorsa, semptomların başladığı ana dikkat etmek çok önemlidir. Çünkü bazı tedavi teknikleri, felcin hemen ardından uygulandığında etkili olabilmektedir" dedi.
Uzm. Dr. Hikmet Dolu, "Konuşmakta ve diğer insanların söylediklerini anlamakta zorluk çekmek, yüz, kol ya da bacakta meydana gelen felç yahut uyuşma, ani olarak bir ya da iki gözde ortaya çıkan bulanıklık ya da karartılı görme yaşanılabilir. Kişi etrafındakileri çift görebilir. Kusma, baş dönmesi ya da bilinç kaybının eşlik edebileceği ani ve şiddetli baş ağrısı oluşabilir. Ani baş dönmesi ve denge kaybı yaşamak mümkündür” bilgisini paylaştı.
'ERKEKLERDE FELÇ İHTİMALİ, KADINLARDA İNMEDEN ÖLÜM DAHA FAZLA'
55 yaş üstündekileri gençlere oranla felç geçirme ihtimalinin daha yüksek olduğunu söyleyen Uzm. Dr. Dolu, “Erkeklerdeki felç ihtimali, kadınlara kıyasla daha yüksek olsa da kadınlarda felçten dolayı gerçekleşen ölüm oranları erkeklere kıyasla daha fazladır. Yaşam tarzı, fazla kilolu veya obez olmak, fiziksel hareketsizlik, uyuşturucu kullanımı, yüksek tansiyon, sigara içimi veya pasif içicilik, yüksek kolesterol, diyabet (şeker), uyku apnesi, kalp yetmezliği rahatsızlıklar, kişisel ya da ailevi inme öyküsü, kalp krizi, geçici iskemik atak geçmişi, korona enfeksiyonu, doğum kontrol hapları, hormon tedavileri inmeyi etkileyebilmektedir” şeklinde konuştu.
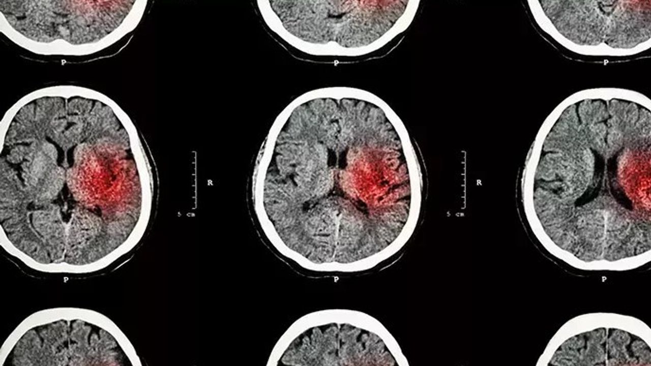
Felcin beynin kan akışından ne kadar zaman mahrum kaldığına ve hangi bölümün etkilendiğine bağlı şekilde bazı bölgelerde geçici ya da kalıcı sakatlıklara sebep olabileceğine dikkat çeken Uzm. Dr. Hikmet Dolu, komplikasyonların felç, kas hareketi kaybı, konuşma güçlüğü, yutma güçlüğü, hafıza kaybı veya düşünme güçlüğü, duygusal problemler, ağrı davranış değişikliklerini içerebileceğini söyledi.
'TEDAVİSİ MÜMKÜN'
Uzm. Dr. Hikmet Dolu, inmeyi önlemek için neler yapabileceği ve tedavi konusunda şu bilgileri paylaştı: “İnmeye sebep olabilecek risk etkenlerinin farkında olmak, hekimin önerilerine uymak ve sağlıklı bir hayat tarzını benimsemek, hipertansiyonu kontrol etmek, kolesterol ve doymuş yağ miktarını düşürmek, tütün kullanımını bırakmak, sağlıklı kiloyu korumak, meyve ve sebzesi zengin bir diyet uygulamak, düzenli egzersiz yapmak, alkol kullanımını sınırlandırmak veya ortadan kaldırmak, diyabeti yönetmek inmeyi engellemek için atılabilecek en iyi adımlardır.
Felç için acil tedavi teknikleri, felcin türüne göre farklılık göstermektedir. İskemik felci tedavi etmek amacıyla, kan akışı beyne hızlı bir biçimde sağlanmalıdır. İlaçların olabildiğince erken verilmesi önemlidir. Hızlı tedavi yalnızca sadece hayatta kalma oranını artırmakla kalmaz, meydana gelebilecek risklerin de azaltılmasını sağlar.
Bazen iskemik inmeleri doğrudan tıkalı kan damarın içerisinde tedavi etme yöntemine başvurulur. Endovasküler tedavi sonuçlarına bakıldığında bu yöntem, büyük oranda iyileşme göstermiş ve uzun sürede potansiyel sakatlıkları azaltmıştır. Acil prosedürler olabildiğince kısa zaman içinde gerçekleştirilmelidir. Karotis endarterektomi yöntemi, karotis arteri tıkayan plağı ortadan kaldırarak iskemik felç riskini düşürür.
Anjiyoplastide kasıklarda bulunan bir atar damardan karotis atar damarına bir kateter iletilir. Bu işlemin ardından daralmış olan atar damarı genişletmek amacıyla bir stent yerleştirilebilir. Kanama bölgesi genişse, hekim kanı almak ve beyninizdeki basıncı düşürmek için cerrahi operasyon yapmayı isteyebilir. Felç geçiren kişiler bir rehabilitasyon programına dahil edilir. Buradaki tedavi programı hastanın yaşına, genel sağlık durumuna ve felçten kaynaklanan sakatlığın düzeyine bağlı olarak şekillenmektedir."





